رزرو وقت ملاقات
به منظور ارائه بهترین خدمات و تجربهای راحت و بدون دغدغه برای شما، امکان رزرو نوبت آنلاین را فراهم کردهایم. شما میتوانید به راحتی و در هر زمان از طریق وبسایت ما، نوبت مشاوره و معاینه خود را رزرو کنید.
ما در اینجا با ارائه بهترین خدمات تخصصی در زمینه زنان و زایمان و خدمات زیبایی همراه شما هستیم. برای رزرو نوبت و مشاوره با ما تماس بگیرید و از تجربهای حرفهای و مراقبتی شخصی بهرهمند شوید.
سال سابقه خدمت به بانوان کشور
دکتر آزرمیدخت شجاعی متخصص و جراح زنان و زایمان و نازایی با بیش از هفت سال سابقه کاری به خدمت رسانی به هم میهنان عزیزمان مشغول است.
دکتر آزرمیدخت شجاعی فارغ التحصیل رشته تخصصی زنان و زایمان در این رشته مشغول طبابت می باشد.پس از کسب قبولی در کنکور وارد رشته پزشکی شده و در ادامه به دلیل علاقه خاصی که به خدمت رسانی به زنان جامعه داشته اند در رشته تخصص جراحی زنان و زایمان مشغول به تحصیل دوره رزیدنتی شده اند.
به جهت آگاه سازی عمومی و ارتقا سطح سلامت بانوان و همچنین آشنایی با آخرین متدهای درمانی و جراحی روز دنیا این سایت طراحی و آماده پاسخگویی به سوالات شما عزیزان می باشد.
دکتر آزرمیدخت شجاعی متخصص و جراح زنان و زایمان و نازایی با بیش از هفت سال سابقه کاری به خدمت رسانی به هم میهنان عزیزمان مشغول است.
زایمان طبیعی
زایمان سزارین
زایمان بی درد
زایمان VBAC
جراحی های زنان و زیبایی و ترمیمی
ما مفتخریم که با ارائه خدمات حرفهای و مراقبتهای ویژه به شما همراه هستیم. هدف ما تأمین سلامت و رفاه شما در تمام مراحل زندگی زنانگی است
به عنوان یک روش دقبق بررسی ضایعات داخل رحم مثل پولیپ و میوم های داخل رحمی ،بررسی آناتومی داخلی رحم و همچنین ضایعات داخل کانال سرویکس
بررسی ضایعات ،زخم ها، کیست های نوبوتین ،تغییرات پیش بدخیمی و بدخیمی دهانه رحم که معمولا در اکثر مواقع به علت انتقال جنسی ویروس HPVصورت میگیرد.همچنین امکان تهیه نمونه بافتی از ضایعات مشکوک به بدخیمی از دهانه رحم و کانال واژینال.
انجام کلیه بررسی ها و معاینات لازم قبل از بارداری، بررسی بیماریهای مزمن و اقدامات لازم مربوط به آن قبل از بارداری ،مراقبت های دوره ای دوران بارداری،درخواست آزمایشات روتین،غربالگریهای بررسی مشکلات ژنتیکی و تعیین جنسیت جنین،بررسی و پایش رشد و سلامت جنین،تصمیم گیری جهت انتخاب روش مناسب زایمان در هر فرد.
زایمان طبیعی : به عنوان انتخاب اول روش زایمان در خانم های نخست زا و فراهم کردن امکانات زایمان بی درد در حین پروسه آن. زایمان سزارین : به عنوان روشی در افرادی که امکان انجام زایمان طبیعی نداشته،از جمله قرارگیری نامناسب جنین داخل رحم،لانه گزینی غیرمعمول جفت، جنین های دارای محدودیت شدید رشد داخل رحمی،عدم تناسب سرجنین و لگن مادر و همچنین در سزارین های تکراری دو ،سه و چهار به بالا.
VBAC اصطلاحی است که برای انجام زایمان طبیعی در فردی که سابقه سزارین قبلی داشته ،بکار میرود.پس از بررسی و شرح دقیق علت و زمان سزارین قبلی،در صورتی که فاکتور خطری برای زایمان طبیعی وجود نداشته باشد،در صورت تمایل مادر میتوان امکان زایمان طبیعی به همراه بی دردی برای وی فراهم نمود.
عواملی چون افزایش سن،زایمانهای مکرر و همچنین ویژگی های ژنتیکی بافتی در افراد میتواند باعث شل شدگی و افتادگی و گشادشدن واژن،گردن مثانه و بی اختیاری ادراری شود،که با روش ها و تکنیک های جدید جراحی های اوروگاینکولوژی میتوان تمامی این مشکلات را برطرف کرد. انجام جراحی های لابیوپلاستی، لیفت با نخ،تزریق ژل،تزریق چربی ،درمان واژینیسموس در این کلینیک صورت میگیرد.
بررسی علل و درمان خونریزیهای غیرطبیعی، ناباروری، کیست های تخمدانی،اختلالات هورمونی،علائم یائسگی ،تاخیربلوغ و بلوغ زودرس دختران و بی نظمی های قاعدگی.
فرآیند خدمات
ملاقات با دکترآزرمیدخت شجاعی
انجام معاینات و مشاوره تخصصی
دریافت راهنماییها و برنامه درمانی
تهیه مدارک پزشکی قبلی
حضور به موقع در مطب
دریافت پیام تأییدیه نوبت از طریق ایمیل یا پیامک
بررسی جزئیات و تأیید نهایی
ورود به وبسایت یا تماس با مطب
انتخاب تاریخ و ساعت دلخواه
تکمیل فرم اطلاعات شخصی
فرآیند خدمات
ورود به وبسایت یا تماس با مطب
انتخاب تاریخ و ساعت دلخواه
تکمیل فرم اطلاعات شخصی
دریافت پیام تأییدیه نوبت از طریق ایمیل یا پیامک
بررسی جزئیات و تأیید نهایی
تهیه مدارک پزشکی قبلی
حضور به موقع در مطب
ملاقات با دکترآزرمیدخت شجاعی
انجام معاینات و مشاوره تخصصی
دریافت راهنماییها و برنامه درمانی
به منظور ارائه بهترین خدمات و تجربهای راحت و بدون دغدغه برای شما، امکان رزرو نوبت آنلاین را فراهم کردهایم. شما میتوانید به راحتی و در هر زمان از طریق وبسایت ما، نوبت مشاوره و معاینه خود را رزرو کنید.
آخرین مطالب
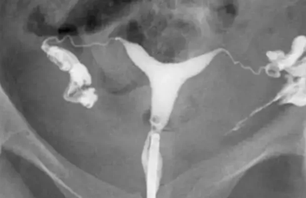
هیستروسالپنگوگرافی چیست و چه نقشی در تشخیص ناباروری دارد؟ هیستروسالپنگوگرافی (Hysterosalpingography – HSG) یک روش تصویربرداری تخصصی است…
میل به افزایش لذت جنسی و بهبود کیفیت روابط، بخشی طبیعی از سلامت انسان است. در سالهای اخیر،…
پی آر پی واژن بهعنوان یکی از روشهای نوین پزشکی بازساختی (Regenerative Medicine)، امروزه جایگاه ویژهای در مدیریت…
بازخورد بیماران
سلام من توسط خانم دکتر شجاعی جراحی هیسترکتمی انجام دادم و خیلی از کارشون راضی هستم ایشان پزشکی فوق العاده با صبر و حوصله هستن و خیلی بادقت به مشکلات بیماران رسیدگی میکنن
من کیست واژن داشتم که متوجه بارداری شدم خانم دکتر لطف کردن با بی حسی برام تخلیه کردن.بدون درد بدون آسیب به جنین.خانم دکتر خیلی خیلی خوش اخلاق و با متانت .و اصلا مادی گرا نیستن دلسوز بیمار.یعنی بهترین بهترین بهترینن
خیلی راحت وقت گرفتم و سر ساعت ویزیت شدم وقت دهی کاملا دقیقه و محیط مطب فوق العاده س و خلوت رفتار منشی شون عاالیه و از طریق واتساپ پاسخگو همه سوالات هستن و خود خانم دکتر همه چی و بررسی میکنن و توضیح کامل میدن و بسیار خوش اخلاق هستن و دستگاه سونوگرافی هم موجوده که خیلی عالیه
برای بارداری رفتم خیلی دکتر مهربون و آروم و صبوری بودن عالیی هستن تو دکترهای متخصص زنان بیمارستان نجمیه بهترینن
بسیار محترم و مهربان هستند
برای سزارین ایشان دکترم بودم فقط میتونم بگم پنجه طلاست ماشالله
یک توده داشتم و جراحی کردم و الان کاملا خوب هستم
بسیار با حوصله بودند و به تمامی صحبت ها گوش میکردند و راهنمایی های جامع و کاملی رو ارائه دادند و خیلی حس خوبی رو القا کردند.
خیلی دکتر عالیی هستن من از اول بارداریم تحت نظر دکتر شجاعی بودم و تو این دوران اصلا هیچ دردی سراغم نیومد
بسیار با حوصله بودند و به تمامی صحبت ها گوش میکردند و راهنمایی های جامع و کاملی رو ارائه دادند و خیلی حس خوبی رو القا کردند.
بسیار با حوصله با آرامش با سواد پزشک حاذق
برای درمان زگیل تناسلی رفتم درمان شدم خدا خیرشون بده
مشکل هورمونی، عالی
بسیار خوش برخورد، و حرفه ای در کار خود
بسیار عالی و خوش برخورد بودند و تشخیصشان بسیار دقیق بود
برای مریض وقت میزارن و خیلی دلسوز هستند

۰۲۱۸۸۵۱۸۱۷۲
۰۲۱۸۸۷۴۴۵۱۹

۰۹۱۲-۰۸۲-۰۹۲۰

تهران، خیابان شهید بهشتی ، جنب مترو قدوسی